Dr Suvam Das

Edit Content

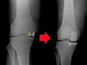
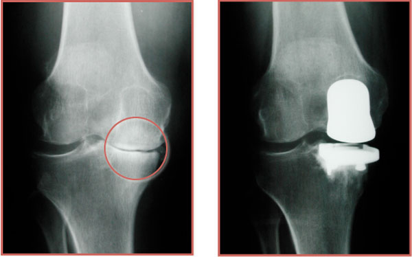
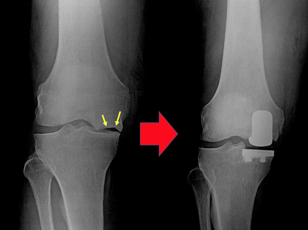
Partial Knee Replacement (PKR)

Partial knee replacement (PKR), also known as unicondylar or unicompartmental knee replacement, is a surgical procedure that replaces only the damaged portion of the knee joint, while preserving the healthy parts. Unlike total knee replacement, PKR focuses on restoring function by targeting one or two specific compartments of the knee.

Most people who choose to have a partial knee replacement have osteoarthritis. A healthcare provider might recommend a partial knee replacement if you have severe symptoms that don’t get better after trying nonsurgical treatment.

Orthopedic surgeons often perform partial knee replacement in younger patients — those under age 50 — rather than total knee replacement. Yet it can be stressedthat there is no precise age cutoff for this surgery; as it is based on a patient’s overall health and severity of arthritis.

Here’s a more detailed look at the benefits :

Faster Recovery : Partial knee replacement generally requires smaller incisions and preserves more of the knee’s natural structures leading to a quicker recovery time and shorter hospital stay.

Natural Knee Feel : Since only the damaged part of the knee is replaced, patients often experience a more natural knee movement and function after surgery.

Lower Risk of Complications : The less invasive nature of partial knee replacement can reduce the risk of complications like infections and blood clots.

Quicker Return to Activities : The faster recovery time allows patients to return to work and daily activities, including sports more quickly.

Partial knee replacements, while beneficial for some, also carry potential drawbacks. These include a higher revision rate compared to total knee replacements, the possibility of arthritis developing in the remaining joint and the potential for the implant to loosen or wear down over time.

Partial knee replacements may have a higher rate of requiring revision surgery compared to total knee replacements.

This means a second surgery might be needed to address issues like implant loosening or failure.

Since only a portion of the knee joint is replaced, there’s a risk that arthritis could develop or worsen in the remaining, unreplaced part of the knee.

The prosthetic implants in a partial knee replacement can loosen over time, especially if they aren’t properly attached to the bone.

Revision Knee Replacement

A revision knee replacement or revision total knee arthroplasty (RTKA), means a second surgery to replace or modify the components of a previous knee replacement. This procedure is performed when the original knee replacement fails or becomes problematic, requiring the surgeon to remove the old prosthesis and replace it with a new one.

Revision knee replacement surgery involves removing a failing knee implant and replacing it with a new one. It’s a more complex procedure than a primary knee replacement, requiring specialized implants and techniques to address potential issues like bone loss or infection. The surgery typically involves removing the old implant, addressing any bone defects and inserting a new, specialized revision knee implant.

Preoperative Planning : Extensive planning is crucial to address the specific reasons for revision and ensure the best outcome. This includes evaluating the cause of failure (e.g., infection, loosening, wear) and assessing bone quality and any bone loss.

Incision : An incision is made over the knee to access the joint and the implant.

Removal of the Old Implant : The surgeon carefully removes the existing knee implant components (femoral, tibial and patellar if applicable).

Bone Reshaping and Reconstruction : If there’s significant bone loss, bone grafts (taken from the patient’s own body or a bone bank) or other materials may be used to rebuild or strengthen the bone.

Closure : The incision is closed and the knee joint is protected with temporary drains to manage fluid and blood accumulation.

Here’s a more detailed look at the benefits :

Pain Relief : Revision surgery can alleviate pain caused by a malfunctioning or worn-out implant, allowing patients to engage more fully in daily activities.

Restored Mobility : The procedure can restore proper knee function and improve range of motion, making walking and other movements easier.

Enhanced Joint Stability : A new, properly aligned implant can improve the stability of the knee joint, reducing the risk of dislocation or unnatural movements.

Improved Quality of Life : By alleviating pain and restoring function, revision knee replacement can significantly improve a patient’s overall quality of life.

Total Knee Replacement (TKR)

Total Knee Replacement (TKR), also known as knee arthroplasty, is a surgical procedure that replaces the entire knee joint with an artificial prosthesis to relieve pain and improve function. This procedure is typically recommended for individuals suffering from severe knee pain and limited mobility due to conditions such as osteoarthritis, rheumatoid arthritis or traumatic injury.

Why it's done

TKR is not always the first option for treating knee pain. Non-surgical treatments, such as physical therapy, medication, weight management and knee injections, are often tried first. However, when these methods fail to provide sufficient relief, TKR may be recommended under the following circumstances :

 Severe pain that interferes with daily activities such as walking, climbing stairs or getting up from a chair.

 Persistent knee swelling or inflammation that does not improve with conservative treatments.

 Significant loss of knee mobility, making it difficult to bend or straighten the leg.

 Advanced degeneration due to osteoarthritis or other joint diseases.

 Deformities such as bowlegs or knock-knees that impact alignment and stability.

The Procedure

A Total Knee Replacement surgery typically involves the following steps :

 Preoperative Preparation : Patients undergo a thorough evaluation, including imaging tests like X-ray or MRI or Citi scan, blood work and consultations to ensure they are suitable candidates for surgery. Physical preparation, such as strengthening exercises, may also be recommended.

 Anesthesia : The procedure is performed under general anesthesia or regional anesthesia (spinal or epidural), depending on the patient’s medical condition and Anaesthesiologist preference.

 Incision : A surgical incision is made at the front of the knee to access the joint.

 Resurfacing : Damaged bone and cartilage are removed from the femur, tibia and patella. Metal components are then attached to the ends of these bones and a plastic spacer is placed in between them to create a smooth surface for movement.

 Closure : The incision is closed with sutures or staples; the knee is bandaged.

 Postoperative Care : Patients are monitored in recovery room for pain management and overall health stabilization.

Benefits of Total Knee Replacement

TKR offers several advantages, including :

 Pain Relief : The surgery effectively eliminates or significantly reduces chronic knee pain.

 Improved Mobility : Patients regain the ability to perform daily activities and enjoy an active lifestyle.

 Enhanced Quality of Life : The procedure allows individuals to participate in hobbies and social interactions without discomfort.

 Durability: Modern implants can last 15-20 years or longer, depending on activity levels and overall health.

Risks

Knee replacement surgery, like any surgery, carries risks. They include :

 Blood clots. Surgeons often recommend blood-thinning medicines to prevent this risk. The most common location for blood clots is in the leg. But they can travel to the lungs and become deadly.

 Nerve damage. Nerves in the area where the implant is placed can be injured. Nerve damage can cause numbness, weakness and pain.

 Infection. Infection can occur at the incision site or in the deeper tissue. Surgery is sometimes needed to treat an infection.

Partial Knee Replacement (PKR)

Partial knee replacement (PKR), also known as unicondylar or unicompartmental knee replacement, is a surgical procedure that replaces only the damaged portion of the knee joint, while preserving the healthy parts. Unlike total knee replacement, PKR focuses on restoring function by targeting one or two specific compartments of the knee.

Who is a candidate for partial knee replacement ?

Most people who choose to have a partial knee replacement have osteoarthritis. A healthcare provider might recommend a partial knee replacement if you have severe symptoms that don’t get better after trying nonsurgical treatment.

The Procedure

Orthopedic surgeons often perform partial knee replacement in younger patients — those under age 50 — rather than total knee replacement. Yet it can be stressedthat there is no precise age cutoff for this surgery; as it is based on a patient’s overall health and severity of arthritis.

Benefits of Total Knee Replacement

Here’s a more detailed look at the benefits :

 Faster Recovery : Partial knee replacement generally requires smaller incisions and preserves more of the knee’s natural structures leading to a quicker recovery time and shorter hospital stay.

 Natural Knee Feel : Since only the damaged part of the knee is replaced, patients often experience a more natural knee movement and function after surgery.

 Lower Risk of Complications : The less invasive nature of partial knee replacement can reduce the risk of complications like infections and blood clots.

 Quicker Return to Activities : The faster recovery time allows patients to return to work and daily activities, including sports more quickly.

Risks

Partial knee replacements, while beneficial for some, also carry potential drawbacks. These include a higher revision rate compared to total knee replacements, the possibility of arthritis developing in the remaining joint and the potential for the implant to loosen or wear down over time.

 Partial knee replacements may have a higher rate of requiring revision surgery compared to total knee replacements.

 This means a second surgery might be needed to address issues like implant loosening or failure.

 Since only a portion of the knee joint is replaced, there’s a risk that arthritis could develop or worsen in the remaining, unreplaced part of the knee.

 The prosthetic implants in a partial knee replacement can loosen over time, especially if they aren’t properly attached to the bone.

Revision Knee Replacement

A revision knee replacement or revision total knee arthroplasty (RTKA), means a second surgery to replace or modify the components of a previous knee replacement. This procedure is performed when the original knee replacement fails or becomes problematic, requiring the surgeon to remove the old prosthesis and replace it with a new one.

The Procedure

Revision knee replacement surgery involves removing a failing knee implant and replacing it with a new one. It’s a more complex procedure than a primary knee replacement, requiring specialized implants and techniques to address potential issues like bone loss or infection. The surgery typically involves removing the old implant, addressing any bone defects and inserting a new, specialized revision knee implant.

 Preoperative Planning : Extensive planning is crucial to address the specific reasons for revision and ensure the best outcome. This includes evaluating the cause of failure (e.g., infection, loosening, wear) and assessing bone quality and any bone loss.

 Incision : An incision is made over the knee to access the joint and the implant.

 Removal of the Old Implant : The surgeon carefully removes the existing knee implant components (femoral, tibial and patellar if applicable).

 Bone Reshaping and Reconstruction : If there’s significant bone loss, bone grafts (taken from the patient’s own body or a bone bank) or other materials may be used to rebuild or strengthen the bone.

 Closure : The incision is closed and the knee joint is protected with temporary drains to manage fluid and blood accumulation.

Benefits of Revision knee replacement

Here’s a more detailed look at the benefits :

 Pain Relief : Revision surgery can alleviate pain caused by a malfunctioning or worn-out implant, allowing patients to engage more fully in daily activities.

 Restored Mobility : The procedure can restore proper knee function and improve range of motion, making walking and other movements easier.

 Enhanced Joint Stability : A new, properly aligned implant can improve the stability of the knee joint, reducing the risk of dislocation or unnatural movements.

 Improved Quality of Life : By alleviating pain and restoring function, revision knee replacement can significantly improve a patient’s overall quality of life.

Benefits of Total Knee Replacement

Here’s a more detailed look at the benefits :

 Faster Recovery : Partial knee replacement generally requires smaller incisions and preserves more of the knee’s natural structures leading to a quicker recovery time and shorter hospital stay.

 Natural Knee Feel : Since only the damaged part of the knee is replaced, patients often experience a more natural knee movement and function after surgery.

 Lower Risk of Complications : The less invasive nature of partial knee replacement can reduce the risk of complications like infections and blood clots.

 Quicker Return to Activities : The faster recovery time allows patients to return to work and daily activities, including sports more quickly.

Scroll to Top